足立区五反野駅前30秒の歯医者|五反野駅前はる歯科医院
予約優先ご予約はお電話で
03-3849-8600
再診の方はお電話でお願いします。
高純度の塩と超純水だけを電気分解して生成した次亜塩素酸水(除菌水)です。
人の免疫細胞と同じ成分を含んでおり、薬品を使用していないため安全性が高いとされています。
口腔内のタンパク質汚れを除去し口臭や虫歯の原因となる菌を殺菌する効果があります。
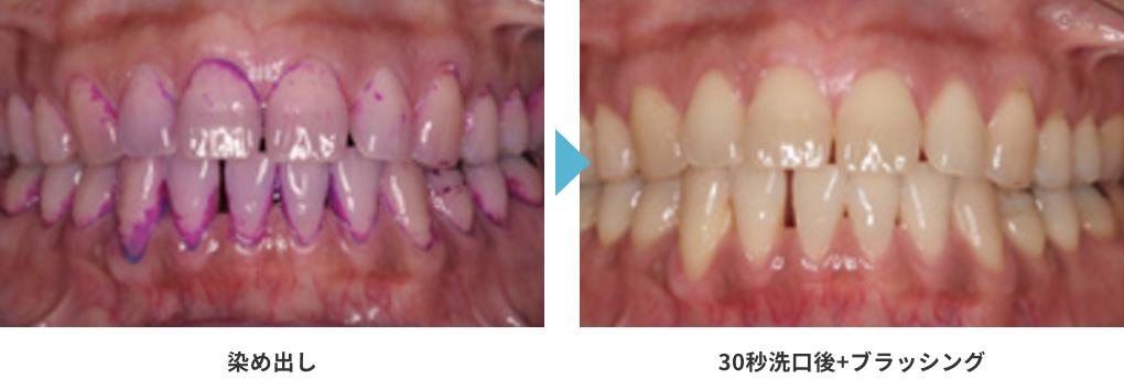
左の染め出した薄い紫色は1日程度のプラーク(虫歯菌・歯周病菌)が付着している部位です。歯磨き粉を使用せずポイックウォーターを使用してブラッシングしてもらったら30秒程度でプラークの付着がなくなりツルツルの歯になりました。磨いているのに虫歯になってしまうのは市販の歯磨き粉では取りきれないプラークが付着したままになりプラークの分解、洗浄、殺菌ができていなかったためです。ポイックウォーターはまずプラークを分解し綺麗になった後に虫歯菌や歯周病菌を殺菌していきます。
ブクブクうがいで!
ポイックウォーターは、口腔内の歯垢を効果的に除去し虫歯や歯周病の予防に寄与します。
ガラガラうがいで!
新型コロナウイルスやインフルエンザウイルス、風邪の予防にも効果が期待されており、ガラガラうがいをする事でのども殺菌されます。
虫歯・歯周病予防
風邪・ウイルス対策
【ガラガラうがい】もすることができ、インフルエンザウイルスなどが流行した時は、ご自宅でウイルス感染予防対策として有効です。

赤ちゃんやペットにも使用できる
清潔で安心・安全な除菌水
ポイックウォーターは食品添加物として認可されており、赤ちゃんやペットにも使用できる安全性が確認されています。高齢者の方は口腔内を清潔に保つことで誤嚥性肺炎の予防になります。薬品を一切使用していないため安心して利用できます。
当院では口腔内お掃除の際に「ポイックウォーター」でのうがいをお願いしています。
「ポイックウォーター」で約 30 秒うがいをすると瞬時にお口の中を殺菌&除菌できます。
日常的なホームケアに取り入れることで健康な口腔環境を維持するのに役立ちます。
お試しも可能ですのでお気軽にお声がけください。
※ポイックウォーターは感染症リスクを完全に防ぐものではありません。一般的な細菌、ウイルスの抑制、感染リスクの軽減を目的とした洗口液です。
Web予約受付中
お急ぎの場合はお電話でお問い合わせ下さい
03-3849-8600
診療時間
9:30~13:30 / 15:00~19:00休診日: 木・日・祝日